Главная » НОВОСТИ » Общество » Мужчина порвал горло, пытаясь сдержать чих
Мужчина порвал горло, пытаясь сдержать чих
17.12.2023 11:16
Мужчина из Шотландии порвал горло, пытаясь сдержать чих, пишет издание People.
Как рассказал мужчина, когда он ехал за рулем автомобиля, у него случился приступ чихания. Пытаясь сдержать чих, он зажал нос и рот рукой и сразу почувствовал острую боль в шее.
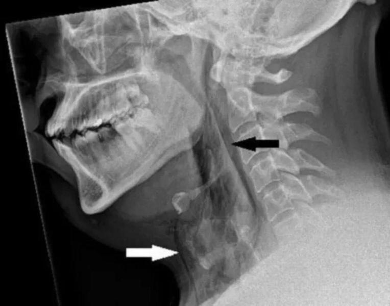
Пациент приехал в больницу, когда его шея распухла до таких размеров, что он уже практически не мог ей двигать. Врачи, осмотрев пострадавшего, отправили его на рентген. После изучения снимка выяснилось, что у шотландца произошел разрыв трахеи.
Медики объяснили, что если закрыть нос и рот во время чихания, то давление в верхних дыхательных путях может увеличиться до 20 раз. Это и произошло в ситуации с мужчиной, поэтому он получил такой тип травмы.
Шотландцу не потребовалось хирургическое вмешательство. Ему назначили обезболивающие препараты и отпустили домой, посоветовав избегать тяжелых физических нагрузок в течение двух недель.
Все права защищены. При перепечатке ссылка на сайт ИА "Грозный-информ" обязательна.
Нашли ошибку в тексте? Выделите ее мышкой и нажмите: Ctrl+Enter
Поделиться:Также в разделе «Общество»:
- 30.05.2026 / 19.26
- Более 131 тысячи жителей Чечни приняли участие в отборе кандидатов «Единой России» на предварительном голосовании
- 30.05.2026 / 16.33
- Иран возобновил производство баллистических ракет
- 30.05.2026 / 13.34
- В Чечне укрепляют линии электропередачи после сильных дождей
- 30.05.2026 / 11.02
- После сильных ливней на участке Грозный – Аргун приостановлено движение поездов
- 29.05.2026 / 22.28
- Путевки на умру, тысячи гостей и сотни подарков: в Ачхой-Мартане впервые прошел масштабный праздник Ид аль-Адха


