Мир
В Иране заявили о готовности поделиться со странами ШОС опытом противостояния с США
USD 74,8081 EUR 87,8826
Мир
В Иране заявили о готовности поделиться со странами ШОС опытом противостояния с США
Россия
Команда из Грозного победила на Всероссийском инженерном конкурсе
СКФО
Фонды поддержки бизнеса Чечни и Ставрополья подписали соглашение на КИФ-2026
Блоги
В Госдуме отреагировали на рождественское обращение Зеленского с пожеланием смерти
Главная » НОВОСТИ » В мире » Мужчина прожил восемь лет, не замечая застрявший в груди нож
19.08.2025 14:39
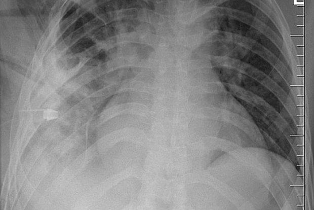
В Танзании врачи удалили из груди мужчины нож, которого он не замечал восемь лет. Об этом пишет «Лента.ру».
44-летний мужчина обратился в больницу из-за гнойных выделений в районе соска. Врачи удивились, что мужчина не жаловался на боли в груди, проблемы с дыханием и кашель, и сделали ему рентген. Тогда они и обнаружили, что внутри пациента застрял нож. Лезвие вошло рядом с правой лопаткой и не задело ни одного органа, поэтому он спокойно жил с ним.
По словам пациента, около восьми лет назад на него напали с ножом, после чего он попал в больницу с многочисленными ранениями. Тогда врачи не смогли провести рентгенологическое обследование и просто зашили его раны. Впоследствии мужчину ничего не беспокоило, поэтому он и не обращался за помощью. Гной стал сочиться из его тела из-за омертвевших тканей, которые образовались вокруг инородного объекта.
Врачи успешно удалили нож из груди мужчины. Спустя 11 дней ему удалось восстановиться.
Все права защищены. При перепечатке ссылка на сайт ИА "Грозный-информ" обязательна.
Нашли ошибку в тексте? Выделите ее мышкой и нажмите: Ctrl+Enter
Поделиться: